Đáp án cho 6 câu hỏi hàng đầu về bệnh phổi trắng

Với số ca mắc COVID-19 được ghi nhận tăng vọt ở Trung Quốc kể từ tháng 12/2022, nhiều bệnh nhân COVID đã tiến triển thành bệnh “phổi trắng,” một bệnh viêm phổi nặng với tổn thương hai lá phổi chiếm trên 75%.

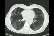
1. Bệnh ‘phổi trắng’ và các triệu chứng

“Phổi trắng” là biểu hiện quan sát thấy trên phim chụp X-quang phổi và CT ngực trong trường hợp viêm phổi nặng. Đối với một người khỏe mạnh, khi chụp X-quang phổi hoặc CT ngực, phổi có màu đen vì bên trong chứa không khí. Khi viêm phổi nặng hoặc có tổn thương phổi cấp tính, các phế nang và mao mạch trong phổi bị tổn thương, máu và dịch tiết vào khoảng kẽ giữa các phế nang và lòng phế nang làm xẹp phế nang. Khi đó trên phim chụp phổi xuất hiện các bóng trắng loang lổ; phổi có màu trắng, do đó được gọi là phổi trắng.

Khi hiện tượng này xảy ra, dịch sẽ tích tụ trong lòng phế nang, và nồng độ oxy trong máu giảm nhanh chóng. Khi hầu hết các phế nang bị xẹp, oxy sẽ không thể đi vào máu. Trên lâm sàng bệnh nhân xuất hiện các triệu chứng như tức ngực, khó thở, thở yếu và bão hòa oxy trong máu dưới 93%. Các triệu chứng như tím tái, vã mồ hôi, nhịp tim nhanh, rối loạn ý thức có thể xảy ra.

2. Bệnh phổi trắng chỉ do COVID-19 gây ra?

Bất kỳ tình trạng hoặc bệnh lý nào gây tổn thương phổi cấp tính, bao gồm viêm phổi nhiễm khuẩn, co giật, viêm phổi do hít, viêm phổi do mycoplasma và chấn thương ngực (đụng dập nhu mô phổi) đều có thể gây ra phổi trắng.

3. Dấu hiệu nhận biết bệnh phổi trắng

Dấu hiệu quan trọng nhất là đánh giá mức độ khó thở và nồng độ oxy máu có bình thường không. Nếu bão hoà oxy máu thấp hơn 93%, nên cảnh giác nguy cơ bị viêm phổi và cần đến bệnh viện để kiểm tra thêm.

Ở người cao tuổi, viêm phổi có thể không có sốt và các triệu chứng hô hấp rõ ràng. Vì vậy người cao tuổi cần được theo dõi chặt chẽ. Nếu họ cảm thấy chán ăn, mệt mỏi hoặc thờ ơ, ngủ gà và có nồng độ oxy trong máu thấp hơn 93%, thì ngay lập tức cần đưa họ đến các cơ sở y tế.

4. Ai có nguy cơ cao bị bệnh phổi trắng?

Dựa trên các báo cáo lâm sàng, những người cao tuổi chiếm tỷ lệ cao nhất, tiếp đến là nhóm bệnh nhân bị các bệnh nền như tiểu đường, cao huyết áp, bệnh mạch vành, bệnh phổi tắc nghẽn kinh niên, hen suyễn, ghép thận, ghép gan hoặc các bệnh tự miễn.

5. Cách phòng tránh bệnh phổi trắng

Những người thuộc nhóm nguy cơ cao, nhất là những người có bệnh nền là nhóm người cần ưu tiên phòng chống.

Dinh dưỡng và bổ sung nước hợp lý có thể giúp các bệnh nhân tránh các biến chứng của COVID-19.

Ngoài ra, duy trì lối sống lành mạnh, tránh thức khuya có thể giúp tăng khả năng miễn dịch.

6. Tổn thương phổi do COVID-19 có hồi phục được không?

Sau khi nhiễm virus, chức năng phổi của hầu hết các bệnh nhân có thể được phục hồi. Sau một thời gian nhu mô phổi tổn thương sẽ được tái tạo và để lại sẹo. Có thể mất ba tháng đến một năm hoặc thậm chí lâu hơn để phục hồi hoàn toàn như trước khi nhiễm COVID.

Quá trình phục hồi tổn thương nhu mô phổi diễn ra tương tự như quá trình liền xương sau bó bột gãy chân trong vài tháng. Không ai có thể chạy ngay sau khi xương vừa lành lại. Sẽ luôn xuất hiện một vài cảm giác khó chịu trong quá trình hồi phục khi chân lấy lại sức mạnh và khối cơ phát triển trở lại. Đây cũng chính là những gì lá phổi sẽ trải qua sau khi bị tổn thương.

Thời tiết lạnh vào mùa đông có thể làm gia tăng tỷ lệ bị các loại viêm phổi. Ngay cả khi không có COVID-19, người già có bệnh nền luôn dễ bị viêm phổi. Hãy chú ý hơn đến việc theo dõi nhịp thở. Nếu cảm thấy tức ngực, khó thở, sốt dai dẳng, và khi nồng độ oxy trong máu giảm xuống dưới 93%, bạn nên đến ngay bệnh viện gần nhất để được điều trị và chăm sóc.

Thanh Long biên dịch

Quý vị tham khảo bản gốc tại The Epoch Times

Dr. Jingduan Yang
BTV Epoch Times Tiếng Anh
Tiến sĩ Dương Cảnh Đoan có bằng M.D (Bác sĩ y khoa), là thành viên của Hiệp hội Tâm thần Hoa Kỳ (F.A.P.A.) và là bác sĩ tâm thần có chứng nhận chuyên về Trung y cho các bệnh mạn tính về tâm thần, hành vi và thể chất. Tiến sĩ Dương cũng là người sáng lập Viện Y học Tích hợp Dương và Viện Châm cứu Lâm sàng Hoa Kỳ, đồng thời là Giám đốc điều hành của Northern Medical Center, Middletown, New York. Ông đã đóng góp cho các cuốn sách "Tâm Thần Học Tích Hợp," "Các Vấn Đề về Thuốc," và "Liệu Pháp Tích Hợp cho Bệnh Ung Thư." Ông cũng là đồng tác giả "Hướng về Phương Đông: Bí Quyết Cổ Xưa về Sắc Đẹp+Sức Khỏe cho Thời Hiện Đại" của HarperCollins và "Châm Cứu Lâm Sàng và Trung Y" của Oxford Press.
Chia sẻ bài viết này tới bạn bè của bạn