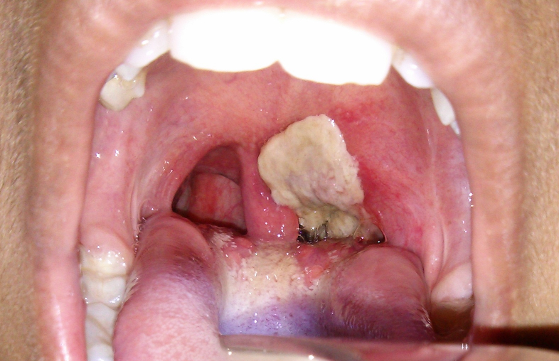
Điều gì làm cho bạch hầu trở nên nguy hiểm?
Bệnh bạch hầu có thể gây tử vong do tác dụng của độc tố Corynebacterium diphtheriae. Những vi khuẩn sản xuất độc tố chủ yếu là những vi khuẩn nhiễm bị nhiễm thể thực khuẩn…
Theo Trung tâm Phòng ngừa và Kiểm soát Dịch bệnh Hoa Kỳ (CDC)cho biết, bạch hầu chỉ trở nên nguy hiểm và gây bệnh nghiêm trọng cho người khi vi khuẩn bạch hầu (corynebacterium diphtheriae) bị nhiễm thể thực khuẩn, truyền thêm độc lực chết người cho bạch hầu.
Thể thực khuẩn
Thể thực khuẩn là một tập hợp các loại virus chuyên ký sinh trên vi khuẩn. Chúng ở khắp nơi trong môi trường và được công nhận là đặc vụ sinh học phong phú nhất trên trái đất. Chúngcực kỳđa dạng về kích thước, hình thái học, và hệ gen.
Giống như virus, mỗi loài thể thực khuẩn sẽ ký sinh trên một vi khuẩn đặc trưng và chuyên biệt.
Thể thực khuẩn không thể lây nhiễm và nhân lên trực tiếp trong tế bào người. Nhưng chúng đóng vai trò quan trọng trong hệ vi khuẩn của con người, chúngđiều hòasự trao đổi gen giữa các vi khuẩn gây bệnh và không gây bệnh.

Nguy hiểm của vi khuẩn khi có thể thực khuẩn
Nhiều vi khuẩn thực sự nguy hiểm khi có độc tố được mã hóa bởi bộ gen của thể thực khuẩn. Nếu không có độc tố mã hóa, các loài vi khuẩn này sẽ hiền lành hơn nhiều – chúng ít gây bệnh hơn, hoặc thậm chí là không gây bệnh. Một số vi khuẩn nguy hiểm được kể đến làdịch tả(vibrio cholerae),bạch hầu(corynebacterium diphtheriae), clostridium botulinum, clostridium difficile, và lỵ shigella. Tại sao thể thực khuẩn lại mã hóa những chất độc này đến nay vẫn còn là điều bí ẩn.
Lưu ý đối với chăm sóc bệnh nhân
Đối với tất cả các nhân viên y tế,điều quan trọngkhi chăm sóc bệnh nhân mắc bệnh – những người có nhiễm độc tố liên quan đến thể thực khuẩn – là nên chọn quy trình khử trùng có khả năng vô hiệu hóa virus cũng như vi khuẩn. Mặc dù thể thực khuẩn không lây nhiễm trực tiếp vào tế bào người, nhưng chúng có thể làm trung gian chuyển gen độc lực từ các chủng vi khuẩn gây bệnh sang nhóm không gây bệnh.
Thiện Đức
– Theo StatPearls.
Mới nhất
Tiêu điểm
Bình luận
Email




