TRUNG Y BỆNH THƯỜNG GẶP
- 25 October
Hệ tiêu hóa dưới góc nhìn của Trung y
Mặc dù nhiều từ ngữ của Trung y về cách thức hoạt động của hệ tiêu hóa khác với cách tiếp cận Tây y thông thường, nhưng các nguyên tắc cơ bản vẫn tương tự:…
- 25 October
Lối sống giúp đường ruột khỏe mạnh và giảm nguy cơ ung thư đại trực tràng
Bác sĩ Trung y hướng dẫn cách bảo vệ đường tiêu hoá và phòng ung thư đại trực tràng nhờ chú ý đến nguyên nhân thường bị bỏ quên: táo bón mạn tính.
- 23 October
Ba thói quen ăn uống giúp điều trị thiếu máu và dưỡng huyết
Trung Y cho rằng sức khỏe kém bắt nguồn từ các tình trạng như thiếu máu. Làm thế nào để bổ sung máu giúp cung cấp đầy đủ dưỡng chất cho cơ thể?
- 23 October
Trung tiện bất thường có thể là dấu hiệu cảnh báo bệnh đường tiêu hóa
Trung tiện lớn tiếng và có mùi khó chịu là dấu hiệu cảnh báo những bệnh lý liên quan đến đường ruột. Bấm huyệt và trà thảo mộc có thể giải quyết vấn đề này.
- 16 October
Bác sĩ Trung y chia sẻ cách trì hoãn và đảo ngược thoái hoá khớp gối
Sử dụng châm cứu, Trung y, tự bấm huyệt, các bài tập và liệu pháp ăn uống phù hợp có thể giúp duy trì sức khỏe khớp gối lâu dài.
- 12 October
Táo bón lâu ngày có thể dẫn đến ung thư, 4 huyệt giúp cải thiện
Các liệu pháp Trung y như bấm huyệt, thảo dược và cách ăn uống giúp điều trị hiệu quả chứng táo bón, từ đó giảm nguy cơ ung thư đại trực tràng.
- 8 October
Thuốc ngủ làm tăng nguy cơ mất trí nhớ, 4 phương pháp tự nhiên chữa trị mất ngủ
Trung y xem mất ngủ là một bệnh do tinh thần bất ổn, tỳ hư, khí trệ và nóng gan gây ra. Ngoài thảo dược và ăn uống, còn có liệu pháp châm cứu các…
- 3 October
9 dấu hiệu cảnh báo sớm của bệnh tiểu đường
80% nguy cơ phát triển bệnh tiểu đường loại 2 là từ béo phì. Dưới đây là 9 manh mối giúp phát hiện sớm bệnh tiểu đường và các phương pháp điều trị tiểu đường.
- 1 October
10 bài tập đơn giản cải thiện chứng điếc và ù tai
Thực hiện đúng cách theo thời gian, 10 bài tập này có thể giúp cải thiện các triệu chứng ù tai, điếc, khó nghe và nghẹt tai
- 29 September
4 loại đau nửa đầu và 4 cách điều trị đau nửa đầu tại nhà
Bốn loại đau nửa đầu - Bốn biện pháp đơn giản cải thiện đáng kể các cơn đau nửa đầu.
- 28 September
Tiết lộ sức khỏe lá gan: Những biểu hiệu bệnh gan trên hai bộ phận của cơ thể và cách dưỡng gan
Bác sĩ Ngô Quốc Bân sẽ chỉ ra cách phát hiện bệnh gan thông qua quan sát mắt và móng tay, và phương pháp dưỡng gan.
- 26 September
Ba động tác đơn giản giúp cải thiện sức khỏe cột sống và chữa vẹo cột sống
Tìm hiểu về bốn nguyên nhân chính gây vẹo cột sống và ba động tác đơn giản giúp cải thiện chứng vẹo cột sống.
- 21 September
Đau đầu: 5 nguyên nhân chính và cách giảm đau hiệu quả
Đau đầu: 5 nguyên nhân chính và cách giảm đau hiệu quả
- 20 September
Gan nhiễm mỡ làm tăng nguy cơ ung thư gan–Mẹo phát hiện và phòng ngừa sớm
Bệnh gan nhiễm mỡ nếu không được kiểm soát tốt có thể tiến triển thành xơ gan, thậm chí là ung thư gan. Do đó việc phòng ngừa, phát hiện sớm và điều trị tích…
- 17 September
10 nguyên nhân gây ù tai và cách chữa trị theo Trung y
10 trường hợp bệnh nhân ù tai điều trị thành công bằng châm cứu
- 29 August
Phân đen có thể là dấu hiệu nguy hiểm đe dọa tính mạng
Phân đen có thể là dấu hiệu nguy hiểm đe dọa tính mạng. Trung y có các bài thuốc cầm máu nào hiệu quả
- 27 August
5 môn thể thao dễ gây tổn thương não và các liệu pháp cổ xưa giúp khắc phục chứng sa sút trí tuệ
Khi ngày càng có nhiều quốc gia bước vào thời kỳ lão hóa xã hội, chứng sa sút trí tuệ đã trở thành một vấn đề cấp bách mà nhiều gia đình và xã hội…
- 23 August
6 bài tập cơ sàn chậu ngăn chứng tiểu són và tiểu lắt nhắt
Đôi khi bạn vô tình bị són tiểu khi hắt hơi, cười hoặc xì hơi? Người ta ước tính rằng có khoảng từ 24% đến 45 % phụ nữ và từ 11% đến 34 %…
- 20 August
Rối loạn thần kinh thực vật: Nguyên nhân và cách điều trị
Trung y điều trị hệ thống thần kinh tự chủ như thế nào? Ở đây, chúng ta cần nhìn nhận từ hai khía cạnh tâm lý và sinh lý.
- 18 August
Muối chữa nhanh khỏi 7 bệnh hàng ngày
Muối có nhiều công dụng chữa bệnh và được sử dụng rộng rãi trong Trung y.
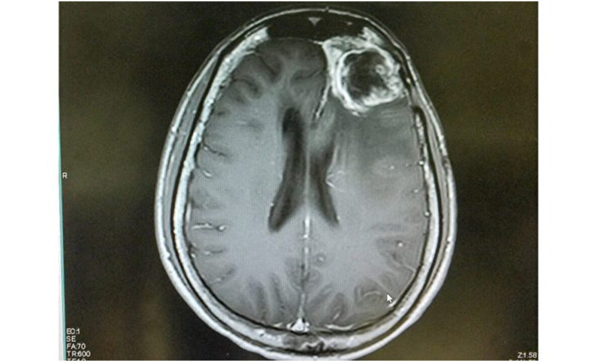
- 15 August
Nghiên cứu: Trung y đưa ra hướng tiếp cận điều trị mới cho u nguyên bào thần kinh đệm
Chiết xuất từ thảo dược Trung Y giúp cải thiện tỷ lệ sống sót của chuột mắc bệnh u não, do đó mang đến phương pháp tiềm năng mới để điều trị căn bệnh này
- 3 August
Chỉ mất một tháng để chữa bệnh tim? Nghiên cứu của đại học Harvard xác nhận sự tồn tại của Kinh Tâm Bào
Nghiên cứu gần đây của Trường Y Harvard đã xác nhận được sự tồn tại của “Kinh Tâm Bào (màng tim)”, một trong 12 kinh lạc của cơ thể.
- 1 August
Triệu chứng của say nắng và cách phòng ngừa
Triệu chứng của say nắng và cách phòng ngừa theo Trung y
- 1 August
10 nguyên nhân hàng đầu gây táo bón và 7 thói quen ăn uống để phòng tránh
Trung y liệt kê 10 nguyên nhân hàng đầu gây táo bón và cách điều trị táo bón
- 24 July
3 huyệt dự phòng mất trí nhớ và 3 thực phẩm tăng trí nhớ
3 huyệt dự phòng mất trí nhớ và 3 thực phẩm giúp tăng trí nhớ

























